
急性肝障害を疑う症例
- 消化器内科
- 犬
- 症例
KINS WITH 動物病院 二子玉川院の消化器内科
消化器内科では消化に関わる幅広い領域、具体的には胃腸に食道、肝臓、胆嚢、そして膵臓の病気に対応します。
消化器科でよくご相談をいただく症状に下痢や嘔吐、食欲不振がありますが、これらの症状を引き起こす原因は多岐に渡ります。動物たちは言葉を話すことができません。そのため、消化器内科では問診を大切にしています。いつ・どんな症状があったのかを詳しくお聞かせください。検査や治療の選択肢をご家族と相談しながら、それぞれの患者さまに最適な道を探したいと思います。
PROBLEM.01
PROBLEM.02
PROBLEM.03
PROBLEM.04
PROBLEM.05
PROBLEM.06
PROBLEM.07
PROBLEM.08
消化器内科の疾患は便の異常や嘔吐が代表的な症状として現れる一方で、“元気も食欲もあり下痢や嘔吐はないが痩せてきた”というサインだけのこともあります。これらの症状を起こす疾患は多岐に渡ります。また原因疾患が1つではなく複数併発しているケースも珍しくありません。
など
症状やこれまでの経過、年齢や犬・猫種などを確認し、急性疾患か慢性疾患かの判断と、直ちに命に関わるかを判断する。問診内容と症状をもとに、問題点を整理し、可能性がある疾患をリストアップして必要な検査を考えます。
まずは、負担の少ない検査で情報収集し、可能性のある疾患と矛盾しないか評価し、病気を絞り込んでいきます。
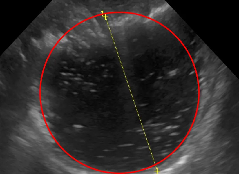
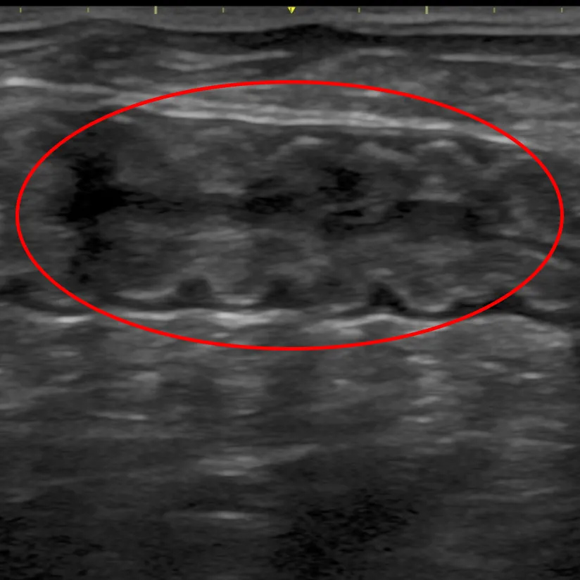
具体的には、糞便検査で感染症(寄生虫、細菌、ウィルスなど)の有無を、血液検査でスクリーニングをかけ内分泌疾患(ホルモン病)やその他の疾患を除外そして画像検査(レントゲン検査・エコー検査)で異物の誤飲、胃腸の動きや構造の変化などを確認します。
一般検査の結果をもとに原因疾患を絞り込み、治療方針を決めます。
急性期で全身状態が比較的安定していれば、対症療法(下痢止めや胃腸運動促進剤など)の反応を見ます。対症療法の結果改善すれば急性疾患として判断し、改善しない・もしくは休薬すると繰り返す場合には慢性疾患を疑います。
慢性疾患の一つである慢性腸症の場合には、試験的治療の中に「食事療法や整腸剤など」が含まれます。
試験的治療で改善しない場合や、一般検査で異常があり追加検査が必要な場合などに精密検査を行います。例えば、エコー検査で腹腔内腫瘤があれば細胞診を、エコー検査では評価できない場合はCT検査を行います。
慢性腸症が疑われるが試験的治療で改善しない場合は内視鏡検査を実施し、生検を行うことで初めて診断を確定することが可能となります。
確定した病気をもとに、適切な治療プランを構築します。
試験的治療が奏功しなかった慢性腸症の場合には、内視鏡検査で病気を確定診断した上でステロイド治療などの治療強化に移行していきます。
内視鏡検査を始めとした精密検査には全身麻酔が必要なものもあるので、その必要性を慎重に判断しています。
慢性腸症は長期に渡って慢性的な下痢や嘔吐などの消化器症状が現れる病気です。一般的な急性胃腸炎は1週間程度で症状が落ち着くのに対し、こちらは3週間以上続くものを指します。
原因不明な炎症が胃腸に繰り返し起きる病気であり、食事療法や免疫抑制剤など、その子にあわせて食事とお薬を様組み合わせて治療します。完治が難しい病気であるため、生涯にわたり治療が必要な病気です。進行すると胃腸粘膜からタンパク質(ALB:アルブミン)が漏れ出る「蛋白漏出性腸症(PLE)」となることがあります。
慢性肝炎は、何かしらの原因で肝細胞に障害が起きている状態で、肝細胞の傷害と修復を繰り返す結果、線維化が起き、最終的には肝硬変へと進行する病気です。ラブラドール・レトリバーやアメリカン・コッカー・スパニエルなど、いくつかの好発犬種が報告されており、犬種によって病態は異なります。原因として、特発性もしくは銅関連性であることが多いですが、確定診断には開腹下もしくは腹腔鏡下での肝生検が必要です。「沈黙の臓器」と言われるように、症状が出るよりも先に、健康診断で異常に気づくケースが多く、症状が出ている場合にはかなり進行していることも少なくありません。一方で完治は難しいものであり、病気の原因、進行の重症度、臨床症状によって、複雑な治療を適切に実施し症状や進行を抑え、良好な生活の質の維持を目指します。
急性胃腸炎とは、突発的に発症する胃腸の炎症を指します。主に嘔吐や下痢を伴い、消化器の不調が短期間で現れることが特徴です。原因はさまざまで、食事の変化、ストレス、薬品などの接種が主な原因となり引き起こされます。軽症であれば自然に回復することもありますが、重症化すると脱水症状や電解質異常を引き起こすため、集中治療が必要になることもあります。
急性膵炎は何らかの原因により膵細胞が傷害を受け、炎症が膵臓内・周囲組織・全身へと引き起こされる病気です。確定診断には膵生検が必要なため、多くの場合は症状・血液検査・画像検査から総合的に判断せざるを得ない病気でもあります。急性膵炎を起こしやすい犬種(Mシュナウザー、シェルティーなど)や基礎疾患などに注意が必要です。
突然発症し、強い腹痛や激しい嘔吐などを起こします。症状が強く出ている場合には脱水症状の恐れがあるため、点滴により体内の水分や電解質を調整するほか、鎮痛剤や制吐剤などを使用します。炎症が全身に広がると命に関わる病気でもあるため迅速な臨床診断と処置が大切となります。
犬はあらゆるものを無邪気に口にしてしまう習性があります。特に若齢動物や大型犬は好発です。異物が消化器官を塞いだ場合や飲み込んだ異物に毒性がある場合、命に関わる重篤な状態となるケースがありますので、一刻も早く除去する必要があります。異物の除去はその種類・大きさ・形状により催吐剤のほか、内視鏡による摘出、もしくは開腹手術が必要な場合もあります。
胆嚢内での細菌感染が原因となることが多く、胆石を伴うケースもあります。原因や経過によって内科治療と外科手術を使い分けて治療を行います。
食欲低下、嘔吐、下痢、発熱、黄疸を起こすこともありますが、軽症から重症まで症状は様々です。
初期の対応では抗菌薬による内科的な治療による治療を目指します。治療反応が悪い場合は胆嚢穿刺による胆汁採取を行い、細菌の特定と抗菌薬の感受性検査を行うこともあります。何度も再発する場合や胆石を伴う場合には外科手術を検討します。
消化管型リンパ腫は胃腸にできる癌の一つで、リンパ球という免疫炎症細胞が癌化した悪性腫瘍です。悪性度・分類・発生部位・動物種(犬猫)により治療方法や予後は異なります。また、好発犬種(柴犬、パグ)も報告されています。消化管型リンパ腫は患者さんごとに症状や病変の現れ方が異なるほか、悪性度の低い消化管型リンパ腫は良性の慢性腸症と症状も一般検査の所見も酷似するため確定診断のための内視鏡生検が推奨されます。治療には抗がん剤治療が適応ですが、病態によっては外科手術+抗がん剤治療となることもあります。ベネフィット(治療効果)とリスク(抗がん剤の副作用など)を十分にご理解いただいた上で治療方針を決めていきます。
内視鏡は患者の体に大きな傷を付けずに、胃腸内の状態を確認するための機器です。
小型カメラを用いた目視での病変確認のほか、組織の一部を採取し専門的な検査を行うことで病気を特定することができ、その後の治療を円滑に進めることができます。また、観察や生検といった検査ツールだけでなく、ポリープ切除・栄養チューブ設置といった治療ツールとしても活躍します。
一方で内視鏡の効果を最大化させるためには獣医師の卓越した技術が必要です。事実、内視鏡は操作技術がないと観察できる範囲が限られてしまうほか、採取した組織の質次第でその後の診断の病気検出率に差が出ることが論文で示唆されています。
当院では最新の内視鏡機器を導入しています。また、施術には二次診療施設で消化器科を専門とし、毎日のように豊富な内視鏡経験を積んだ獣医師が施術にあたり、質の高い獣医療をご提供します。
内視鏡は所持している動物病院が少なく、また持っていても活用する機会が少なく施術に自信がない・検査に時間がかかってしまう。というお声を多くの獣医師先生から伺っています。私は二次診療施設で消化器疾患を数多く診察し、消化管内視鏡を数百例にわたり経験してきました。この分野においては、私の知見がわんちゃん・ねこちゃん・そしてご家族のお役に立つ力になることができると自負しています。
二子玉川院 獣医師消化器に関わる疾患の多くは下痢や嘔吐に代表される似たような症状を呈することが多いです。
しかしその一方で、症状が現れている原因や異常が起きている部位は多岐に渡ります。特に慢性的に繰り返す症状がある場合や、併発している病気がある場合、既存の治療薬(標準治療)の効果が出づらかったり、使いづらいケースがあります。
そのため世界中で日夜研究が続けられ、新たな治療法が模索されています。私たちKINS WITH動物病院も例に漏れず、研究と新たな治療法の確立を目指しています。こちらではその一例をご紹介します。

腸内に生息している無数の細菌群のことを「腸内フローラ」と呼びます。腸内細菌は宿主が食べた食品を分解し新たな全く別の成分(代謝産物)に変える働きを担っており、私たちヒトを含む様々な動物が「体の機能で合成できない成分(代謝産物)」を、腸内細菌に作ってもらうことで吸収し、生命の維持に役立てています。よって、腸内フローラのバランスが崩れ(ディスバイオーシス)必須栄養素をうまく生産できなくなると、ヒトも他の動物たちも体に様々な不調を及ぼします。
そこで、「健康な腸内フローラをもつ方(ドナー)」の腸内細菌を移植することで、自身の腸内フローラのバランスを整える治療法のことを「腸内フローラ移植」と呼びます。ヒトでは自閉症、自己免疫疾患、慢性的な消化器疾患(潰瘍性大腸炎など)の治療として近年注目が集まっている新規治療法です。動物医療では現在のところ標準治療には至っていませんが、安全性と有効性を示す論文が世界中から続々と集まり始めています。
VALUE.01
VALUE.02
VALUE.03
VALUE.04
VALUE.05
獣医師
二次診療施設で消化器内科医として専門診療に従事。
GOOGLE MAPより抜粋
他の口コミを確認する| 歯科 | MON | TUE | WED | THU | FRI | SAT | SUN |
|---|---|---|---|---|---|---|---|
| 午前 9:00-11:30 |
|||||||
| 午後 16:30-18:30 |
| 消化器内科 | MON | TUE | WED | THU | FRI | SAT | SUN |
|---|---|---|---|---|---|---|---|
| 午前 9:00-12:00 |
|||||||
| 午後 13:00-18:00 |
| 皮膚科 | MON | TUE | WED | THU | FRI | SAT | SUN |
|---|---|---|---|---|---|---|---|
| 10:00-16:00 |
| 一般診療科 | MON | TUE | WED | THU | FRI | SAT | SUN |
|---|---|---|---|---|---|---|---|
| 午前 9:00-11:30 |
|||||||
| 午後 16:30-19:00 |
消化器内科では各種検査からエコー、レントゲンや内視鏡にいたるまで様々な機器と検査のご用意があります。急性期の下痢嘔吐の対応はもちろん、慢性的に症状がある子やお腹が弱い体質であると言われてきた子の治療とケアに関しても、何かお力になれることがあるかもしれません。まずはお気軽にお越しください。