
食欲があるのに犬が下痢をするとき
- 犬
- お腹
- 読み物コンテンツ
消化器内科では食べ物の消化に関わる全ての臓器、具体的には胃腸に食道、肝臓、胆嚢、そして膵臓の病気に対応します。二次診療施設で消化器科に専従した獣医師が在籍し、検査や治療の選択肢をご家族と相談しながら、それぞれの患者さまに最適な道を探したいと思います。
東京都世田谷区 玉川3丁目15-13 EXPARK二子玉川 1階
電話番号:03-6447-9230
今回は消化管リンパ腫の症例をご紹介いたします。
他院で原因が明らかになっておらず、セカンドオピニオンを目的に遠方から当院されました。
歯石取りをするための術前検査をかかりつけ病院で行った際に偶発的に低ALB血症がみつかったそうです。その後、食事が変更されましたがALBは改善せず、次第に消化器症状(下痢、血便、嘔吐)が見られるようになったそうです。ステロイド療法でも症状は改善せず、かかりつけ病院ではこれ以上の診療ができないといわれ、当院を探して来院されました。

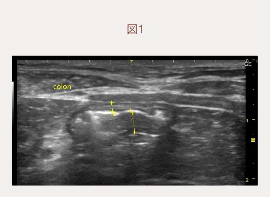
身体検査では軽度のやせ型で、皮膚のフケ(落屑)がみられました。食事量を変えていないのに健常時から11%の体重減少を認め(60kgの成人が6.6kg痩せるのと同じです。)、身体検査で栄養不良が随所で感じられました。血液検査ではアルブミンは基準範囲の下限値(2.3 g/dl)でした。エコー検査では大腸壁の一部は層構造が不明瞭で壁肥厚を認めました。(図1)
小腸の広範囲では腸管の腫れが認められました。腸管関連リンパ節など腹腔内のリンパ節に著変はありませんでした。可能性のある他の病気を除外し、びまん性胃腸疾患(慢性胃腸炎、リンパ管拡張症、リンパ腫)による蛋白漏出性腸症の疑いが高まります。ご家族は確定診断のための内視鏡検査を希望されました。

内視鏡検査で特に所見が強かったのは、結腸で、粘膜面は重度に不整で出血していました。(図2)内視鏡カメラの特殊光を病変部に当てると敷石状に不整な隆起が赤く照らされ、明らかに異常な様子が観察されました。(図3)小腸は全体的に浮腫を認め、回腸では軽度のリンパ管拡張所見を認めました。内視鏡生検の病理結果で「結腸の中細胞リンパ腫、中程度の慢性胃腸炎と軽度のリンパ管拡張症」と診断されました。
本疾患は命に関わる重篤な病気ですが、小腸リンパ腫に比べて大腸リンパ腫は抗がん剤の効きが良く、うまくいけば寛解も期待できるため、抗がん剤治療を推奨しました。基本的には血便と下痢を軽減してもう一回生活の質を高めてあげることが抗がん剤治療の主な目的になります。抗がん剤が効いてくれれば年単位で生存できる可能性があります。

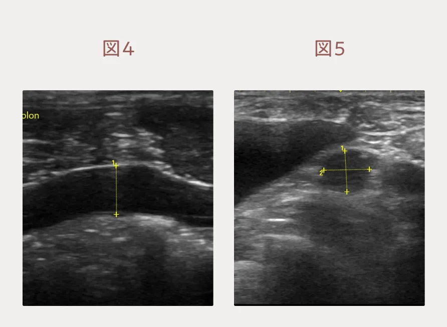
ご家族は抗がん剤治療を希望されましたので、週1回の抗がん剤治療を開始しました。抗がん剤の投与当日には病変が増悪しており、エコー検査で大腸の一部は大腸壁の肥厚・層構造の消失・結腸リンパ節腫大を認めました。(図4、5)この患者さんのリンパ腫は細胞形態的には悪性度としては中間ですが、高悪性度寄りのリンパ腫である可能性があります。

抗がん剤を投与したところ、1週間で劇的な改善が見られました。消化器症状は全て消失し、血便はなく正常便の固さに戻りました。元気も食欲もあり、自宅での生活の質は一変したようです。エコー検査では大腸壁の肥厚・層構造の消失・結腸リンパ節腫大は改善し(図6)、完全寛解と評価しました。今後もなるべく寛解期間が長く、生活の質が維持されることを目指して抗がん剤治療を継続していきます。
今回は消化管リンパ腫の一例をご紹介しました。蛋白漏出性腸症(PLE)は「慢性胃腸炎、リンパ管拡張症、リンパ腫」3つの疾患群の名称であり、今回のワンちゃんは3つとも有しており、その中でも頑固な下痢や血便などの主な症状の原因はリンパ腫という悪性腫瘍でした。
消化管リンパ腫は、細胞の大きさや形態・細胞の種類・発生した位置などにより分類され、その内容によって抗がん剤の選択や治療反応性、予後などが異なります。このような情報は内視鏡生検で採取した組織を用いなければ解明することはできません。正しい病態把握が、最適な治療選択につながり、治療成績や予後を予想する上でも大切になります。
二次診療施設で消化器内科医として診療に従事してきました。
これからは身近に相談できる消化器内科医として、皆さんのお悩みを一緒に解決していきたいと思います。