
食欲があるのに犬が下痢をするとき
- 犬
- お腹
- 読み物コンテンツ
二次診療施設で消化器内科医として診療に従事してきました。
これからは身近に相談できる消化器内科医として、皆さんのお悩みを一緒に解決していきたいと思います。
雑種猫のマメちゃん(仮名・7歳・避妊メス)。主訴は「幼少期からの慢性下痢」。ここ1週間で下痢に血が混じるようになったため、心配になって受診されました。
幼少期の時から毎日下痢をしていて、当時は近くの病院で便検査をしてもらったらトリコモナスが陽性だったので駆虫を試みたのですが、薬が苦いようで十分飲ませられることができずにいました。次第に下痢便は毎日→月1回に減ったので、治療は続けずに数年間過ごしていました。1週間前から下痢がまたひどくなって血便もでるようになったので心配で、消化器内科専門の病院があると知って受診しました。
ご家族は過去の病歴であるトリコモナスが今回の下痢や血便の原因ではないかと思っていたようです。問診で注意深くヒアリングすると、ご家族が気にしていなかったことが病気を絞り込む上で重要なポイントでした。
自宅では気にしていませんでしたが、鳴きながら排便する様子は問診を受けて初めて排便痛かもと知りました。気づかないうちに体重がかなり落ちていることを知り、食欲があるからあまり大病ではないと思っていましたが、消化器の先生にみてもらって良かったです。
血液検査では特筆すべき異常所見はありません。一方、エコー検査では大腸の短さと大腸壁の肥厚(特に粘膜下織の肥厚)を感じました(図1:短軸、図2:長軸)。小腸も腸壁の肥厚があり、短結腸症候群とびまん性胃腸疾患(慢性腸炎やリンパ腫など)の併発を疑い、内視鏡検査を推奨しました。

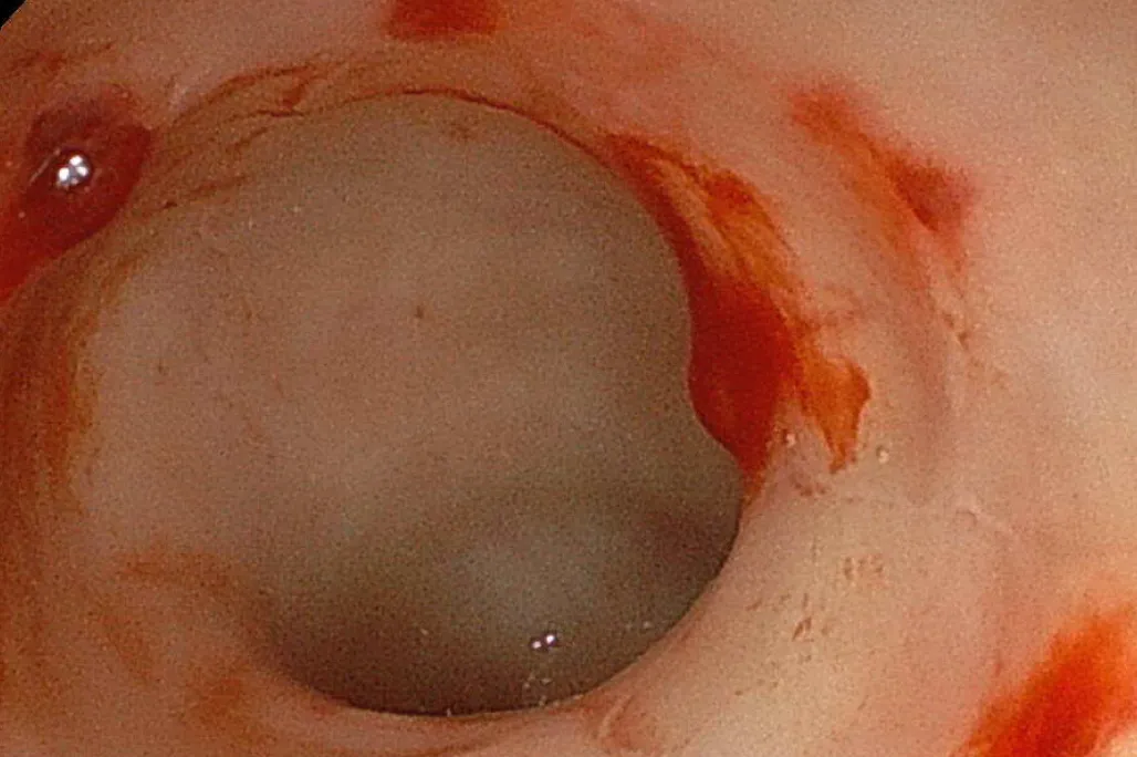
糞便のPCR検査ではトリコモナスは陰性でした。内視鏡検査では20-25cmほどあるべき結腸が14cmと短く、肛門から10-12cmの領域は内視鏡で送気しても内腔が十分に拡張せずにやや狭窄していました(図3)。

狭窄部では送気の進展刺激によって粘膜から出血し(図4)、NBIモードで観察すると線維化していると思われる場所は白線の筋状に見えます(図5)。

内視鏡生検の病理結果で「大腸は慢性大腸炎、小腸は慢性腸炎と小細胞性リンパ腫の境界(グレーゾーン)」と診断されました。リンパ球クローナリティ解析検査ではTリンパ球のモノクローナル小腸はリンパ腫(がん)のなりかけ、もしくは初期段階という評価でした。
大腸性下痢に対しては繊維増強食による食事療法を開始して、下痢はほぼ正常便まで改善し、排便時のしぶりや排便痛は消失、トイレに間に合わず粗相してしまうこともなくなりました。結腸には慢性炎症に伴う結腸狭窄があり、小腸には重度の腸炎もしくはリンパ腫を抱えていることが確認されたため、ステロイド剤の内服も開始しました。
初めて聞く病名(短結腸症候群)で、全然想定していない病気でした。下痢以外に症状がなく元気だったので、リンパ腫が想定される状態だとは想像もしていませんでした。お陰様で治療を開始して排便が改善したことで、本人も排便が楽になったようですし、我々もトイレの掃除が楽になり飼い主のQOLも上がりました。今後の見通しもわかり検査してもらってよかったです。
短結腸症候群は獣医師も含めてあまり知られていない病気ですが、鑑別疾患の中に入れて意識して検査をしないと見落とす可能性のある病気です。また、小腸にも慢性疾患(慢性腸炎やリンパ腫)を併発することが多いという報告があります。
実際にこれまで診てきた短結腸症候群の猫の小腸にも慢性疾患を併発したということをよく経験します。
今回の猫ちゃんは下痢がメインの症状でしたが、問診と身体検査の結果、体重減少も問題点であることがわかりました。主訴が下痢だからといって下痢だけに囚われず、意識して問診で聞き出すことで主訴以外に問題点が浮き彫りになることは珍しくありません。
症状は病気を示すサインの一つですが、ご家族が気づいている症状以外にも病気のサインがあることがあります。検査に入る前の問診と身体検査の大事さがよくわかる症例でした。
東京都世田谷区 玉川3丁目15-13
EXPARK二子玉川 1階
電話番号:03-6447-9230
二次診療施設で消化器内科医として診療に従事してきました。これからは身近に相談できる消化器内科医として、皆さんのお悩みを一緒に解決していきたいと思います。