
食欲があるのに犬が下痢をするとき
- 犬
- お腹
- 読み物コンテンツ
二次診療施設で消化器内科医として診療に従事してきました。
これからは身近に相談できる消化器内科医として、皆さんのお悩みを一緒に解決していきたいと思います。
今回は無症状の蛋白漏出性腸症(PLE)を疑った症例をご紹介いたします。
当院には歯科手術を目的に来院されましたが、1年以上前から過去2件の動物病院の健康診断で低アルブミン血症が指摘されていました。歯科担当医から術前に消化器内科の受診を勧められ、ご相談に来られました。
消化器症状はなく、全身状態も良好で、一見病気を感じさせません。


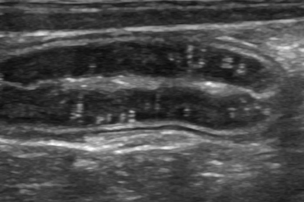
身体検査では軽度の削痩を認めました。血液検査では低アルブミン血症(2.1 g/dl)を認めました。エコー検査では小腸の広範囲でリンパ管拡張を示す白い縦縞のストリエーションサイン(正常な腸には見られない、エコーで映る縞模様 _ 赤矢印)と微量腹水(青矢印)が見られました。

ストリエーションサインは特に空腸で重度にみられ、隣に描出した十二指腸の粘膜層(黒く分厚い層)と比較してかなり白く見えます(黄矢印)。各検査から可能性のある病気を除外し、蛋白漏出性腸症を強く疑いました。全身状態も悪くないため、ご家族と相談し、内視鏡検査を行う前にまずは食事療法の反応性を確認します。
低脂肪食に変更して4週間でALBは2.1→2.4 g/dlに上昇し、脂質制限の食事療法が奏功しました。(当院の検査機器の基準範囲は2.2-3.9 g/dl)今後もALBの推移や消化器症状の出現を注意深くモニターし、経過次第では更なる脂質制限や内視鏡検査などを検討します。
今回は無症状の蛋白漏出性腸症(PLE)を疑う一例をご紹介しました。
アルブミンは血液循環を維持したり、薬剤を体内輸送したりする大切な役割を担うタンパク質です。血中のアルブミン濃度が低いと胸腹水が貯留したり、血栓ができやすくなったりして時には命に関わる状態となります。
蛋白漏出性腸症はアルブミンが腸から漏出している状態で、「慢性腸症・リンパ管拡張症・消化管リンパ腫(がん)」に細分類されます。確定診断には内視鏡検査が必要です。本疾患は進行していく病気群で、生命予後に関わる重篤な病気のため、経過や状態が悪い場合は速やかに精査と治療を行う必要があります。
今回の症例は消化器症状がなく、偶発的に見つかった低ALB血症ですが、このようなケースは少なくありません。知らずに過ごし気づいた時には重症化していたかもしれません。定期的な健康診断の重要性を再認識させられる症例でした。
東京都世田谷区 玉川3丁目15-13
EXPARK二子玉川 1階
電話番号:03-6447-9230
二次診療施設で消化器内科医として診療に従事してきました。これからは身近に相談できる消化器内科医として、皆さんのお悩みを一緒に解決していきたいと思います。