
食欲があるのに犬が下痢をするとき
- 犬
- お腹
- 読み物コンテンツ
消化器内科では食べ物の消化に関わる全ての臓器、具体的には胃腸に食道、肝臓、胆嚢、そして膵臓の病気に対応します。二次診療施設で消化器科に専従した獣医師が在籍し、検査や治療の選択肢をご家族と相談しながら、それぞれの患者さまに最適な道を探したいと思います。
東京都世田谷区 玉川3丁目15-13 EXPARK二子玉川 1階
電話番号:03-6447-9230
今回は肝臓腫瘍が疑われた高齢犬をご紹介いたします。
・大きさ 小型
・犬種 ヨークシャーテリア
・年齢 17歳
・性別 避妊雌
・体重 3.5 kg
・症状 なし
・病名 肝臓腫瘍(肝細胞癌)疑い、急性胃腸炎(既往歴:慢性腎臓病)
・検査 腹部超音波検査
・処置 無治療
・費用 22,400円(肝臓腫瘤に対する2ヶ月間の通院費)
食事変更後にみられた急性の下痢と嘔吐を主訴に来院されました。消化器症状は急性胃腸炎が疑われ、対症療法により数日で寛解しました。持参された過去の血液検査を拝見したところ、肝臓の数値の慢性的な上昇がみられ、腹部超音波検査を実施することになりました。

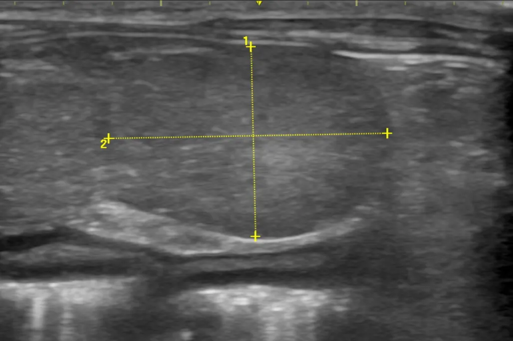
腹部超音波検査では左肝区域に13×20mm大の腫瘤が1つ、中央肝区域に1cm未満の結節が1つみられました。左肝区域腫瘤の内部構造はやや不整で、混合エコー性〜高エコー性、境界不明瞭、内部血流に著変なく、良性悪性どちらもありうる所見でした。ご家族は麻酔を必要とする精査(造影CT検査など)や外科手術(肝臓腫瘤切除)は希望されておらず、時間経過での腫瘤の変化で推定診断することにしました。

初診から2ヶ月経過したところで肝臓腫瘤に対して腹部超音波検査を実施したところ、左肝区域腫瘤は増大(16×33mm)しており、内部構造はより不整で、境界明瞭に変化していました。中央肝区域の結節に変化はありませんでした。時間経過による画像所見の変化を踏まえ、左肝区域腫瘤は肝臓の悪性腫瘍(肝細胞癌)の可能性が高いと暫定診断いたしました。ご家族には改めて2次診療施設でのCT 検査や外科手術についてご提案しましたが、余生は無理なく過ごすことを選択されました。本疾患だった場合に将来的にどうなるのかご説明をし、無治療で余生を過ごしていただくことになりました。
今回は肝臓腫瘍が疑われた高齢犬をご紹介しました。今回の症例のように肝臓疾患は偶発的に見つかることが多く、無症状のことも少なくありません。定期的な健康診断の重要性を改めて感じた症例でした。様々な事情から誰しもが全ての検査や治療を実施できるわけではありません。ご家族の想いを尊重し、限られた情報から想定されうる病状や予後などできる限りの情報をお伝えすることも大切だと思っています。このワンちゃんがどうか穏やかに余生を過ごせるよう陰ながら祈っています。
東京都世田谷区 玉川3丁目15-13
EXPARK二子玉川 1階
電話番号:03-6447-9230
二次診療施設で消化器内科医として診療に従事してきました。これからは身近に相談できる消化器内科医として、皆さんのお悩みを一緒に解決していきたいと思います。