年間400件以上の歯科手術を実施
なるべく歯を抜かない歯周治療 KINSWITH動物病院 二子玉川本院

KINS WITH 動物病院 二子玉川院の歯科治療

当院では、「できるだけ歯を抜かない」ことを大前提とし、歯周病や歯石、口内炎などの口腔内トラブルの治療・予防から、歯周外科・歯周組織の再生療法に至るまで幅広い歯科ケアを行っています。

歯を守ることは患者さんの食事と生活、ひいては健康寿命を守ることに繋がると考えています。治療したその日だけでなく、以降の暮らしにまでお力添えできれば幸いです。

Why どうして歯を残すことができるのか

WHY.01

高難度な手術を行う
体制と実績があるから

歯を残す歯科治療の手術には高難度なものが多く、
専門知識と高い技術が求められます。当院では開院以来500件の手術実績があり、研鑽を積んでまいりました。
また、再生療法や抜髄根管治療など高度な術式を行う体制を整えることで、より多くの歯を残す施術を実施することができます。

WHY.02

正確な治療を実現する
設備を整えているから

高精度顕微鏡(マイクロスコープ)や歯科専用のレントゲンを備えることで歯の状態を的確に判断し、かつ正確でスピーディな施術を実現しています。
一般的に歯周治療において「歯を抜かない」判断をすることは非常に難しいことですが、これらの設備をはじめ多くの専門設備を備えることで、高難度な治療を可能にしています。

WHY.03

歯科に特化して研鑽を積んだ
獣医師が在籍しているから

様々な動物・症状を診る動物病院が多い中で、当院では「犬猫の歯科に特化」して研鑽を積んだ獣医師が在籍しています。
ヒトの歯科医師の学会参加や、歯科に特化した獣医師と歯科医師の合同勉強会などを通して、歯科治療に強くフォーカスを当て、常に最新の研究と技術を修得し続けています。

TREATMENT EXAMPLE 二子玉川院の施術実績

*画像中心の矢印を左右にスライドさせることにより、
施術前後のビフォーアフターを確認できます

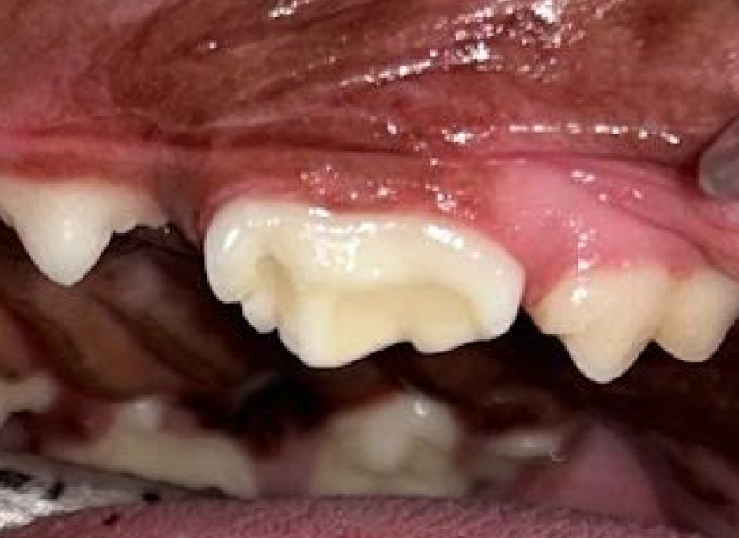
症例01重度歯周病

歯周病で歯が抜けたため来院されました。マスクをしていても強い口臭が感じられ、重度の歯周病が疑われます。歯の温存を希望されていたので、まずは歯科レントゲンを使って全身麻酔での精査と歯石除去・歯周病の治療を行うことになりました。また、神経が露出している歯があったので、抜髄根管治療も実施しました。

症例02中程度歯周病

左上の奥歯は歯根が見えていて、下の奥歯も歯ぐきが下がっています。全体的に歯石が付着して歯肉の炎症が起きています。くしゃみが続いているとのお話しがあったので、口腔鼻腔瘻の可能性があります。当院では歯を残すことを大切に処置を行なっていますが、一般的には口腔鼻腔瘻がある場合は抜歯適応になります。

症例03軽度歯周病

歯科レントゲンを撮影すると、顎の骨が歯周病により破壊された部分はほぼなく、歯肉炎(軽度の歯周病)と判断しました。
この程度であれば、しっかりと歯石除去をおこない、歯磨きをすることで改善が見込めます。歯磨きはうまくできていないと感じているようでしたので処置後は一緒に練習して日頃のケアから改善していきます

症例04破折(歯が折れた)

歯が折れてしまった場合は、一般的には抜歯により対応されます。KINS WITH動物病院では、できるだけ歯を残してあげることで、ご飯やおやつを噛める生活を送らせてあげたい飼主様の希望に添えるよう、歯を温存する治療も提案しております。

過去に二子玉川院で実施した「歯を残す」施術の施術例

10才の小型犬の重度歯周炎と破折|治療方法に悩んだ症例

詳しくはこちら

5才小型犬の犬歯抜髄根管治療|牙が折れて神経が露出してしまった症例

詳しくはこちら

7才小型犬の上顎第四前臼歯抜髄根管治療|奥歯が折れて神経が露出してしまった症例

詳しくはこちら

3才小型犬の口腔メンテナンス|歯石除去をおこなった症例

詳しくはこちら

7才中型犬の歯周治療|なるべく歯を温存して歯周病を治療した症例

詳しくはこちら

3才の保護猫の犬歯の抜髄根管治療|牙が折れたが、抜かずに治療した症例

詳しくはこちら
さらに多くの歯科症例を別のページでまとめています。
ご自身のケースに合うものを選び、ぜひご参考になさってください。

FACILITY 歯を残す治療を実現するための設備

導入しているのは日本で数院
歯科用マイクロスコープを用いた歯周治療

KINS WITH 動物病院二子玉川院では歯科治療にマイクロスコープを使用しています。これは歯科用の顕微鏡のことで縦横を20倍、合わせて400倍もの大きさに拡大することができる設備です。肉眼とは比べものにならない正確性で施術を行うことができるため、様々なメリットが生まれます。

・精度が高く、より安全な治療ができる
・確実でスムーズな施術を行うことができる
・手術時間(麻酔を使用している時間)が短縮できる
・⁨⁩より治療効果の高い施術ができる

患部を拡大し目視で治療を行うことで患部以外の組織を傷付けるリスクが下がり、確信を持って施術を進めることはスピーディに手術を終えることに繋がります。

特に歯周病の治療では代表的な治療法として歯石取りを行いますが、マイクロスコープで細かい歯石が明確に確認できるようになったことにより、取りこぼしがなくなりさらに治療効果の高い施術が行えるようになりました。

獣医師コメント

マイクロスコープの導入で強く感じたメリットは
「患者さんの安全」と「治療効果」の劇的な向上

マイクマイクロスコープを用いることで、お口の中のことが手に取るようにわかり、より細かな作業が一手一手確実にできるようになりました、結果として手術の時間が劇的に短縮され、麻酔を使用する時間が短く済んでいます。

二子玉川院院長
岡田純一

「歯を残せるかどうかを判断するため」に必要な
高精度歯科専用レントゲン

KINS WITH 動物病院二子玉川院では歯科専用のレントゲンを導入しています。
歯科専用レントゲンは通常のレントゲンと異なり、より狭い範囲を高精度で撮影することができる設備です、これにより歯一本ごとに歯肉と骨の状態を正確に観察することができ、それが抜くべき歯なのか、治療により状態が回復する歯なのかを判断することができます。

歯周病治療において、本来抜くべき歯を残すことは病気の悪化や痛みの増幅など、大きな健康リスクに繋がります。よって、歯科レントゲンによる正確な診断なしに歯を残す判断をすることは非常に困難です。

一度抜いた歯は二度と生えてきませんし、以降愛犬愛猫は食べ物を噛むことができなくなってしまいます。単に抜歯を行うだけであればこの設備は不要ですが、私たちは家族の「食べ物を噛む楽しさ」を守りたいと考え、「歯を残す歯科治療」を実施したいと考えています。

獣医師コメント

歯科レントゲンを導入することで
「治療の選択肢」と「治療の安全性」が向上する

肉眼では見えない歯の状態を正確に把握することで、私たち獣医師は治療の選択肢が広がります。それぞれの歯の状態を個別に把握することで、各歯に対して個別に治療計画を立てることができ、「この歯は抜歯しなくていい」という判断を明確に下せるようになったことが非常に大きいです。

二子玉川院院長
岡田純一

OUR VALUE 私たちの特徴

VALUE.01

歯科トップレベルの獣医師

KINS WITH 動物病院では、歯科に強みをもったドクターが在籍しており、5000件以上の診療・300件以上のオペ経験を積んだ院長が治療を行います。長年、たくさんの犬猫の口腔を診てきた獣医師だからこそ、ご家族の不安にも寄り添って、最適な検査と治療を選択いたします。

VALUE.02

口腔内・全身の状態を正しく判断する検査

治療前にしっかり検査を行うことで、ご納得・ご安心いただいた上で治療をいたします。当院では歯科専用レントゲンを導入しており、より正確に、よりわかりやすく、歯と歯周組織の評価をすることで、適切な処置を行うことが可能です。また、オペが必要な際は、術前に血液検査やエコーなどの検査を行うことで、全身の状態も正しく評価した上でオペを行っていきます。

VALUE.03

ケア方法までレクチャー

治しただけでおしまい、ではありません。そもそも口腔環境が良い状態を保てるよう、日常のケア方法もレクチャーいたします。歯磨きが難しいことは100も承知。だからこそ徐々にレベルアップできるよう歩みを合わせて寄り添います。

VALUE.04

徹底的に痛みに向き合う、
負担の少ない麻酔治療

犬猫たちも治療には痛みが伴います。だからこそ、当院ではオペ時には必要な麻酔や痛み止めを使い、限りなく無痛に近い状態で治療を行います。麻酔と痛み止めの併用(=マルチモーダル鎮痛)を行うことで、痛みをコントロールするだけでなく、全身の麻酔量を減らし体への負担を軽減しながら治療します。

VALUE.05

維持治療や再生治療など幅広い治療方針

歯周病治療においては、一般的な歯を抜く治療だけでなく、再生治療も選択することが可能です。また、麻酔不可の子でも行える治療はあります。愛犬・愛猫の歯の状況を可視化したうえで、どのように治療していくかは、ご家族と丁寧にお話しながら決めていきます。

VALUE.06

状況に寄り添ったアフターケア

治しただけでおしまい、ではありません。お口の健康は、毎日のケアによって、歯周病菌などの”菌”をコントロールすることで保たれます。だからこそ、良い状態を保てるよう、ご家族が実践しやすい毎日のセルフケア方法をレクチャー。また、LINEやオンライン相談で、ご自宅からでもご相談いただくことが可能です。ちょっとした不安も解決できる「どんなときでも相談できるかかりつけ医」です。

DOCTOR'S PROFILE 獣医師のご紹介

KINS WITH 動物病院 二子玉川本院

院長

岡田 純一 Okada Junichi

都内動物病院や動物医療センターにて約7年、歯科治療・一般臨床を行う。

[所属研究室・学会]
日本大学大学院 獣医学研究科所属、日本顕微鏡歯科学会、日本小動物歯科研究会、日本獣医歯科学会、日本顕微鏡歯科学会
[経歴]
2009年 東京都 成城高等学校卒業
2015年 日本大生物資源科学部 獣医学科卒業
2015-2019年 都内の動物病院勤務
2020年 神奈川県内動物医療センター勤務
二子玉川院の岡田先生の診療を予約する
  • Master Dental Photography
    修了

  • 日本小動物歯科研究会
    認定レベル4実習 修了

  • 獣医歯科学臨床基礎講座
    歯周予防歯科処置・抜歯術 修了

KINS WITH 動物病院 二子玉川本院

獣医師

清川 理香 Kiyokawa Rika

都内の動物病院にて約6年間一般臨床に従事。一次診療を行なう中で日々の歯科ケアと歯科診療の重要性を感じ、今後より多くの愛犬・愛猫さんの力になれるように努めてまいります。ご家族に寄り添った丁寧な診療を心がけておりますので、ご不安なことがあればいつでもご相談ください。

[所属研究室・学会]
日本獣医歯科学会
[経歴]
2016年 麻布大学 獣医学科 卒業
2018年 都内の動物病院勤務
2024年 KINS WITH 動物病院勤務
二子玉川院の清川先生の診療を予約する

EPISODE 記憶に残る診療

【治療方法に悩んだ症例】小型犬の重度歯周炎と破折

獣医師:岡田純一

当院では、できるだけ歯を残してあげたいと考えています。しかし、飼い主様との相談内容によってはすべての歯を抜く処置をすることもあります。このわんちゃんは腎臓病で治療を受けており、なるべく麻酔はかけたくないが歯も温存したいとのご希望でした。よって、歯の状態と治り具合を見ながら飼い主さまと綿密な話し合いを行い、抜歯をするか歯を残すかを常に確認しながら治療を進めました。

VOICE お客様の声

8歳で初めて麻酔しての歯石除去を行いました。先生から熱心な説明をしていただき、毎日丁寧な歯磨きを心がけています。歯周ポケットの歯石までしっかりケアが大切な事を知りました。リラックスしながら楽しく歯磨き出来るようなりたいです。
9歳になるトイプードルの歯科検診及び歯石取りをしました。日本では歯科の専門医が少ないので近所にあるのが心強く、岡田医院長も丁寧な説明と対応など全て信頼して進めました。初孫誕生で新生児と犬の関係性や毎日の歯磨きの大事さなども教えて頂き勉強になりました。スタッフの皆さんも笑顔で優しいご対応でした♪
抜歯手術をお願いしました。治療法なども丁寧に説明していただき、何パターンか提案もいただき、納得する方法で施術をしていただけました。歯医者さんなので歯のことは安心してお任せできると感じました。これからも定期検査に伺います。ありがとうございました。
チワワ3頭、お世話になっております。11歳ですが、歯の治療を受けてから、歯磨きも出来るようになり、以前と違って、安心しました。先生の対応が優しいのと、楽しく犬にもわたし達にも、接していただけるので、また行きたいと思えるような歯科医院です。安心して、見ていただいています。すごく、おすすめいたします。

GOOGLE MAPより抜粋

他の口コミを確認する

VISIT 初めてご来院いただく方へ

はじめて通院する動物病院は、「予約の取り方」や「診察の流れ」、「当日の持ち物」、「待合室の雰囲気」など分からないことが多かったりします。KINS WITH 動物病院二子玉川本院は、院長と獣医師、看護師で温かくお迎えいたしますので、ご安心ください。
また事前に問診票をお書きいただいた上でお持ちいただけますと、より確実な診察を行うことが可能でございます。
もし可能であれば以下のリンクから問診票をダウンロード・印刷し、必要事項を記載のうえお持ちください。

INFORMATION お知らせ&掲載実績

2023.04.16
[4月臨時休診のお知らせ]
28日は終日休診とさせていただきます。
2023.02.12
[2月臨時休診のお知らせ]
愛玩動物看護師国家試験により、19日は午前診察のみになります。
19日(日):午前 9:00 - 11:30

CONSULTATION HOURS 診療時間

KINS WITH 動物病院二子玉川本院は、診療科目に関わらず予約優先制です。
事前にHPまたはお電話よりご予約をいただき、ご希望の日時にご来院ください。
歯科 MON TUE WED THU FRI SAT SUN
午前
9:00-11:30
○○○○○○
午後
16:30-18:30
○○○○○○
消化器内科 MON TUE WED THU FRI SAT SUN
午前
9:00-12:00
○○○○○
午後
13:00-18:00
○○○○○
皮膚科 MON TUE WED THU FRI SAT SUN
10:00-16:00 ○○
火曜日の診療は9時30分から15時まで。再診と初診で診察最終時間が異なります。
一般診療科 MON TUE WED THU FRI SAT SUN
午前
9:00-11:30
○○○○○○
午後
16:30-18:30
○○○○○○
  • 午前予約制 / 午後予約優先制
  • 診察時間 / 午前 9:00-11:30 午後 16:30-18:30 ※受付は診察終了時間の30分前まで ※休診日 / 水曜日

FLOW 診察の流れ

  • 予約
    WEBまたは電話からご予約をお取りください。
  • 初診
    問診票の回答がございますので、予約時間の10分前にご来院をいただくとスムーズにご案内できます。

    丁寧にお話をお伺いし、視診による病気のご説明や初期の治療方針をご案内いたします。
  • 検査
    健康状態を把握するため、血液検査やエコー、レントゲン、心電図等を実施いたします。

    病理検査を行う場合は、院内の検査よりもお時間をいただく場合がございます。
  • 再診
    検査結果をもとに、具体的な治療方針をご案内いたします。飼い主の方にご同意をいただき次第、治療を開始いたします。

    定期的な治療が必要な場合は、症状の経過状況を細かく管理し、必要に応じてお薬の変更や検査をご案内いたします。

手術が必要な場合

  • 手術
    手術を必要とする病状の場合は、麻酔に対応が可能かを検査結果をもとに慎重に判断いたします。基本的に当日退院となりますが、状況により入院になる場合がございます。
  • 検診
    約1週間を目安に術後の検診を行います。

price 初診

10,000円(税込)~

手術を実施する際の目安料金

術前検査費用込み

歯石取り・スケーリング

10~15万円程度

歯周病治療(スケーリング、抜歯)

軽度 :10~15万円程度
中等度:20~25万円程度
重度 :25~30万円程度

破折(歯が折れた)治療(抜歯、歯冠修復、抜髄根管治療)

軽度 :10万円程度
重度 :30万円程度
*治療方式により変動

猫歯肉口内炎

全臼歯抜歯:15~20万円程度
全顎抜歯 :25~30万円程度

その他、日々のお口のメンテナンスから難度の高い再生療法まで、広く対応しております。どのような内容・金額帯の治療を行うかについては初診にて患部の状態を見極め、飼い主様とのご相談の上でご提案させていただきます。まずはお気軽に初診へお越しください。

窓口精算に対応している保険

当院ではアニコムさまとアイペットさまについては窓口清算が可能となっております。
その他の保険の場合は清算後に保険会社への請求となります。

FAQ 歯科診療に関するよくあるご質問

診療の予約はできますか?
はい、可能でございます。

当院は完全予約制となっており、「WEB予約」もしくは「電話予約」で事前にご予約をお願いいたします。
WEBからの予約が苦手なのですが電話でも予約できますか?
はい、可能でございます。お電話の場合、当日の診療状況によって直ぐに出れない場合がございますが、ご容赦をいただけますと幸いです。

電話番号:03-6447-9230
当日に受診することはできますか?
はい、当日の診療も可能でございます。
当日の診療の場合も事前のご予約が必要となります。

診療枠のご予約をお取りいただき、お時間になりましたらお越しください。
獣医師の指名はできますか?
はい、可能でございます。「WEB予約」の場合は、受診を希望されている獣医師を選択ください。また、「電話予約」の場合は口頭で獣医師を指名いただけますと幸いです。
駐車場はありますか?
はい、当院の隣に1台分のコインパーキングがございます。既に駐車されている場合がございますが、近隣(当院から徒歩数分程度)にも複数台駐車可能なコインパーキングがございます。
クレジットカードは利用できますか?
はい、利用できます。利用可能なクレジットカードは以下となっています。

VISA/JCB/Matercard/Diners
紹介状は必要ですか?
いえ、必要ございません。

既に他院で診断・治療を受けられている場合は、健康状態の把握をするためにこれまでの検査データや治療の経過がわかる資料をご持参いただけますと幸いです。
動物の健康保険は使えますか?
はい、可能です。アニコムとアイペットは窓口清算が可能となっておりますが、その他の保険の場合は清算後に保険会社への請求となります。
複数頭の受診を希望しますが予約はどうしたら良いですか?
可能な限り診療をご希望いただく1頭ごとに1枠の予約をお願いいたします。一つの予約枠で複数頭の診療を行う場合は、診察と検査のお時間が少なくなり正しい診断を行えない可能性があるため、再度受診いただくことをご依頼する場合がございます。
セカンドオピニオンに対応していますか?
はい、ご対応を行なっております。

当院ではセカンドオピニオン診療として、他院での診断・治療に対する当院獣医師の見解をお伝えさせていただきます。その場合、これまでの検査データや治療の経過がわかる資料をご持参してください。また、当院の患者さんが他院のセカンドオピニオンお求めになりたい場合は、治療経過等をお渡しすることも可能でございます。

セカンドオピニオン診療をご希望いただく場合も事前のご予約が必要となります。
オンライン診察はできますか?
当院では、実際に病院にお越しいただくだけではなく、「オンライン相談」を実施しています。ちょっとした気になること、毎日の暮らしで困ったこと。ライフスタイルやセルフケアに関することを、お気軽にご相談いただけます。

※ただし、オンライン相談では診察・処方はできませんのでご了承ください。ご相談を通して詳細の診察が必要となる場合は、病院にお越しいただく必要がございます。
トリミングやペットホテルなどのサービスは併設していますか?
大変申し訳ございません。当院では行なっておりません。近隣のトリミングサロン様やペットホテル様をご利用いただけますと幸いです。
口臭が気になります。どうすればいいですか?
口臭の原因は多岐に渡りますが一般的に口腔内のトラブルに起因するケースが多いです。お口の乾燥や歯周病、さらには胃や腸といった内臓疾患に起因する場合もございます。乾燥が原因による口臭の場合はお水を飲むことで解決しますので、お水を飲んだ直後に口臭が消えれば様子を見ていただいても構いません。歯周病に由来する場合は腐敗臭が、内臓の不調に由来する口臭の場合はアンモニア臭や便のような臭いがします。もしこれらの臭いに該当する場合は早めの受診が必要です。お口のトラブルをまとめた記事を作成しておりますので、当てはまるものがないか確認するか、一度当院へお越しください。
歯石取りはどれくらいの頻度で行えば良いですか?
半年~1年に1度を推奨しています。歯肉炎へと進行する前に対応できると、犬猫への負担も少なく非常に有効です。飼い主さま自身での歯石除去は不可能です。わんちゃんの口を傷付けるリスクが大きく、歯周病予防の面でも効果的とはいえません。歯石が付いてしまったら早めに動物病院での歯石除去(スケーリング)を受け、歯周病の進行を防ぎましょう。
無麻酔での歯石取りはできますか?
無麻酔での歯石取りは行っておりません。理由は医師、患者共に危険が伴うからです。施術に使う器具は非常に鋭く、処置の際に動いてしまうと口腔内やお顔を傷つけてしまう可能性があります。また、歯石を綺麗に取り切ることができない可能性もあるため、承っておりません。
持病により麻酔を行うことができません。
持病や体質により、麻酔を行うことができない犬猫がいます。こうした患者さまの場合は無麻酔にて可能な限りの施術を行います。
抜歯を行いたくありません。
症状の程度によりますが、他院で抜歯を提案されたケースでも抜歯を行わない治療が可能な場合がございます。歯科レントゲンをはじめとした様々な機器を用いることで歯の状態を確認し、可能な限り歯を残す治療を実践しています。